티스토리 뷰
목차
잇몸이 부었을 때 치아 관리를 소홀히 하면 치아를 잃을 수도 있습니다. 잇몸을 붓게 하는 치주 질환의 종류와 치료, 예방 방법에 대해 안내하여 드리겠습니다.
잇몸병
잇몸병 (치주질환)은 치주조직에 생기는 염증성 질환을 말하며 치주란 치아를 둘러싸고 있는 조직을 말합니다.
치주조직에는 치아를 단단하게 잡아주는 치조골 (잇몸뼈), 치아와 잇몸뼈를 연결하는 치주인대, 치아뿌리를 덮고 있는 백악질, 잇몸뼈를 덮고 있는 연조직인 치은으로 이루어집니다.
잇몸병은 소리 없이 진행되는 만성 질환으로, 증상이 나타난 후 치과를 찾았을 때 치료가 불가능한 경우가 많습니다. 주기적인 치주치료를 통한 치주질환의 예방은 건강한 잇몸을 유지하는 데 중요합니다.
치주질환은 유병률(인구 중 환자 수의 비율)이 높은 질환입니다. 국민건강영양조사 제7기 3차년도(2018) 구강검사 결과에 따르면, 우리나라 19세 이상 성인의 치주질환 유병률은 23.4%입니다.
전체적으로 연령이 증가할수록 유병률도 증가하며, 특히 50세 이상에서 유병률이 급격하게 높아집니다.
대한민국 1위 질환인 잇몸질환 예방을 위한 올바른 구강 관리 방법을 아래에서 확인할 수 있습니다. 건강한 잇몸을 원하다면 반드시 시청을 해야 합니다.
잇몸병(치주질환)에 영향을 주는 위험요인 및 예방
위험요인
1. 비만
신체비만지수(BMI, body mass index) 30 kg/㎡이상인 비만인 경우 잇몸병(치주질환)이 발생할 가능성이 더 높습니다.
2. 흡연
흡연자는 비흡연자에 비해 잇몸병(치주질환)이 발생할 가능성이 더 높습니다. 현재 흡연자는 담배를 끊은 사람이나 비흡연자에 비해 치주질환의 예후가 불량하며, 치주치료의 효과도 떨어집니다.
3. 당뇨병
일반적으로 당뇨 환자는 치주조직 파괴가 더 심하고, 잇몸병(치주질환)의 유병률(인구 중 환자 수의 비율)과 중증도(질환의 심각도)가 더 높습니다.
4. 심리, 사회적 요소
심리적 스트레스에 따른 행동변화나 두려움은 직접적으로 잇몸병(치주질환)에 영향을 미칩니다.
의학적으로 스트레스가 직접적으로 치아에 영향을 미친다는 연구가 미흡하지만 스트레스로 인해 발치를 하고 임플란트 시술을 받는 사례가 적지 않습니다.
스트레스가 발생하면 우리 몸은 스트레스를 억제하기 위해 내분비기관인 부신겉질(피신)에서 코르티솔 호르몬을 분비하는데, 스트레스가 지속되면 코르티솔 호르몬이 과다 분비돼 면역력이 떨어지며 평소 치주염 등 치주질환을 앓고 있었다면 상태가 급속히 악화돼 최악의 경우 치조골이 녹아 치아가 빠질 수 있습니다.
치주질환이 없었어도 스트레스가 지속되면 치아에 문제가 발생할 수 있습니다. 코르티솔 호르몬은 점액성 호르몬이라 과도하게 분비되면 침이 말라 치태가 축적돼 치주질환이 급속하게 진행됩니다.
면역력이 떨어졌거나 스트레스로 구강관리가 어려울 때 구강청결제가 도움이 될 수 있습니다. 아래에서 용도에 맞는 구강청결제를 찾을 수 있습니다.
예방
치주염 원인이 생기지 않도록 하기 위해서는 식사 후와 취침 전 양치질을 통해 구강 내 세균을 없애는 것이 중요합니다.
치과에서 정기검진(3개월 ~ 6개월 간격)과 스케일링을 받는 것도 잇몸질환 예방에 효과적이다.
균형 잡힌 식사와 매 식사 후 칫솔질등 치실과 치간칫솔을 사용하여 이 사이를 깨끗하게 해야 한다.
치주질환 치료후 잇몸을 강화시킬 필요가 있습니다. 치주염의 보조치료제인 인사돌의 효능이 알고 싶다면 아래에서 확인할 수 있습니다. 스위스에서 일반의약품으로 허가 받은 인사돌에 대한 안내입니다.
잇몸
잇몸은 치아와 턱뼈가 만나는 부분을 감싸고 있는 구강 내 점막의 일종으로 치경, 치육, 치은이라고도 합니다.
잇몸은 입의 연조직 내벽의 일부이며 잇몸은 치아를 둘러싸고 있어 치아 주위를 봉쇄하는 역할을 합니다. 잇몸의 건강과 잇몸 질병은 전신 건강에 영향을 미칠 수 있습니다.
입술과 볼의 연조직 내벽과 달리 잇몸 대부분은 기반뼈에 밀접히 묶여있어서 음식의 마찰에 저항하는데 도움을 주며 건강한 잇몸은 일반적으로 산호 핑크색이지만 자연적으로는 멜라닌 색소로 인해 빛깔이 더 어두울 수 있습니다.
자가 관리
자가 관리 잇몸병(치주질환) 치료의 가장 핵심적인 요소는 환자가 스스로 치태를 제거하는 것입니다. 환자의 적극적인 참여 없이는 잇몸병(치주질환)의 예방은 물론 치료도 어려울 수 있습니다. 적절한 기구를 이용해 치태를 제거하는 것이 중요합니다.
1. 칫솔
가장 기본적인 기구로 치태 등의 침착물을 제거하고 치은을 마사지합니다.
좋은 칫솔 : 칫솔모 끝이 가늘지 않고, 칫솔모가 많으며 칫솔 머리는 작은 것
2. 치실
치아 사이의 이물질을 제거하고, 치아와 치아 사이 접촉 부위와 치은열구(치아와 잇몸이 만나는 부위) 부위를 깨끗하게 합니다.
3. 치간 칫솔 또는 치간 브러시
칫솔로 잘 닦이지 않는 치아 사이 큰 공간이나 치아 뿌리 사이 공간을 청결하게 합니다.
칫솔보다 중요한 것이 치간 칫솔입니다. 이와 이 사이는 칫솔모가 닿지 않아 치태를 제거하기 어렵기 때문에 반드시 치간칫솔을 사용하여 치태를 제거해야 합니다. 아래에서 올바른 사용방법을 확인할 수 있습니다.
잇몸병 종류
치은염
잇몸병의 초기 상태로, 잇몸의 염증이 연조직에만 국한되어 있어 간단한 치료로도 회복이 가능합니다.
치은염을 예방하기 위해서는 올바른 양치질이 필요하고 스케일링을 주기적으로 받아야 합니다. 구강 내의 청소, 자극성 없는 가글제의 사용, 항생물질의 구강청결제 등으로 치은염이 발생하지 않도록 주의해야 치주염으로 진행되는 것을 막을 수 있습니다.
면역력이 떨어졌거나 스트레스로 구강관리가 어려울 때 구강청결제가 도움이 될 수 있습니다. 아래에서 용도에 맞는 구강청결제를 찾을 수 있습니다.
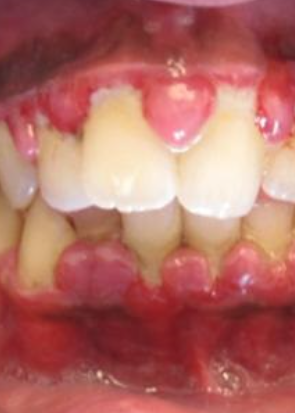
치주염
치주염(齒周炎, periodontitis, pyorrhea)은 치주 조직에 영향을 주는 염증 질환들을 의미한다. 잇몸병이 진행되면 잇몸뿐 아니라 잇몸 아래 치조골까지 파괴됩니다. 치아와 치주조직 사이의 부착소실이 일어나며, 치아가 시리고 흔들리는 증상이 나타납니다.
치주염은 치아를 둘러싸는 치조골이 점차 소실되게 하며, 치료되지 않으면 치아를 잃게 될 수도 있습니다. 치주염은 치아의 표면에 달라붙어 자라는 미생물과 이들에 대한 매우 공격적인 면역 반응에 의해 생깁니다.
증상
잇몸병(치주질환)은 만성 질환이라 초기에는 증상이 잘 나타나지 않습니다. 잇몸의 염증이 연조직에만 국한(치은염)되어 있으면 간단한 치료로도 회복이 가능합니다.
조기에 치료를 받지 않으면 잇몸에서 피가 나거나 붓거나 곪는 증상, 치아가 시리고 흔들리는 증상이 나타납니다.
치아를 지지하는 치조골이 손상되면 잇몸이 내려가고, 음식물도 예전에 비해 치아 사이에 많이 끼어 불편하며, 씹을 때 치아에 힘이 주어지지 않는 느낌이 듭니다. 이 정도 증상을 호소할 때쯤 병원에 내원하면 치료 시기를 놓쳐 치아를 뽑아야 되는 경우가 많습니다.
많은 사람들이 이가 벌어지는 것을 이와 잇몸의 자연스러운 노화과정으로 잘못 알고 있습니다.
원인
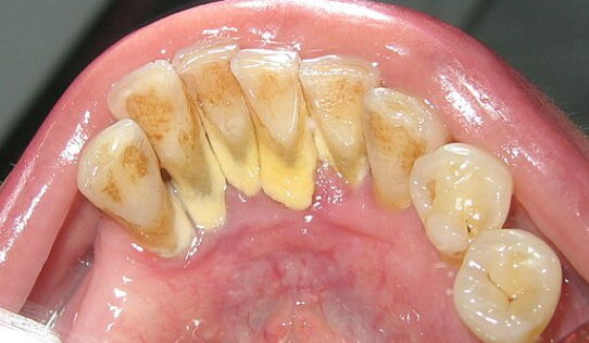
입 속에는 300여 종의 세균이 삽니다. 음식을 먹고 난 후 세균들은 침과 음식물에 섞여서 치아에 붙어 끈끈한 무색의 얇은 막을 만듭니다. 이처럼 세균들이 덩어리져 치아 면에 부착한 얇은 막을 치태라고 합니다.
치아를 제대로 닦지 않고 시간이 지나면 치태가 그대로 굳어져 딱딱한 돌 같은 치석이 됩니다. 치석의 표면에는 세균이 더 쉽게 부착하고 번식하여 잇몸 염증을 일으킵니다.
플라크(plaque)와 치석이 쌓여 잇몸이 치아로부터 떨어지게 되며, 이 틈이 벌어지면서 치주낭이 형성됩니다.
잇몸병(치주질환)의 원인은 치태에 의한 것과 치태에 의하지 않은 것으로 나뉩니다.
1. 치태에 의한 잇몸 염증
치태 내의 세균들이 만들어낸 독소가 잇몸에 염증을 일으켜 잇몸이 뻘겋게 붓고, 치아를 닦을 때 잇몸에서 피가 나고, 입 냄새가 납니다.
2. 치태에 의하지 않은 잇몸 염증
사춘기, 생리, 임신, 당뇨 같은 호르몬 변화나 백혈병 같은 혈액질환, 고혈압약, 항경련제, 면역억제제, 경구피임약 등 약물 복용의 영향으로 생길 수 있습니다.
치료방법
치석제거와 치근표면 연마(scailing and root planning)
- 치석제거(scailing)란 치관의 표면에 붙어있는 치면세균막과 치석을 제거하는 과정을 말하며, 치면세마(dental prophylaxis)를 할 때 쓰는 것과 같은 기구가 필요합니다.
- 치근표면연마(root planning)는 거친 백아질의 표면을 없애줌으로써 치면세균이나 치석이 침착되지 않도록 하는 과정입니다.
치주소파술(gingival curettage)
치주소파술은 염증이 생긴 잇몸 조직을 긁어내는 방식으로 치주염 등 치주질환의 원인을 제거하는 것이 아니라 증상만 없애는 방법입니다.
치은절제술(gingivectomy) 악화된 치주낭을 없애는 가장 보편적인 방법으로 질환에 감염된 조직을 외과적으로 제거하는 수술입니다.
치은절제술은 치은낭의 유해작용을 제거하여 가능한 범위 내에서 치은이 재형성되게 하며, 시술자가 치석을 제거하기 용이하게 하고, 거친 치근표면을 평활하게 한다.
맺음말
잇몸병(치주질환)은 주로 30대 중반부터 시작됩니다. 구강 위생 관리를 소홀히 하면 치석이 쌓이고, 염증이 생기면서 치아 주위 잇몸과 치조골이 손상됩니다.
오랜 시간 질환이 진행되면 통증 없다가 갑자기 잇몸이 붓고, 치아가 흔들리고, 아픈 증상이 나타나는 등 치주질환이 중등도 이상의 상태가 됩니다.
따라서 20~30대부터 정기적인 치과 검사와 올바른 양치질 습관이 중요합니다. 잇몸의 건강과 잇몸 질병은 전신건강에 영향을 미칠 수 있습니다.
이석증 증상 어지러움, 원인, 좋은 음식
이석증 증상은 회전하는 듯한 어지러움입니다. 어지러움을 일으키는 원인과 치료 방법, 이석증에 좋은 음식을 알려드리니 어지럼증에서 해방되기를 바랍니다. 목차 이석증이란? 이석증은 주변
sung100.nado100.com
대상포진 증상, 예방접종, 치료방법, 좋은 음식
대상포진 증상으로 피부가 가렵고 물이 가득한 물집은 감염의 위험도 크고 통증도 심합니다. 이 글에서는 대상 포진의 증상과 치료, 예방방법을 이해하고 대상포진을 빠르게 극복할 수 있는 방
sung100.nado100.com








